- Several studies confirm the high sensitivity and specificity of 99m Tc-bone compound scintigraphy [99m Tc-3,3-diphosphono-1,2- propanodicarboxylic acid (DPD) or PYP (2, 3] for cardiac ATTR amyloidosis; recent studies highlight the value of DPD and/or PYP in differentiating cardiac ATTR from AL amyloidosis (4). 1
- Myocardial 99m Tc-PYP uptake patterns categories:
- absent
- focal
- diffuse
- focal and diffuse
- Steps to reading PYP scans 2
- Review the planar images
- Review the semi-quantitative score
- Calculate a quantitative ratio (H/CL)
- Review Transmission and Emission images
- On Cedars, Sperry recommends turning off “normalize” at the top right drop-down. Instead of the auto-normalize, you will adjust the normalization bar until you start to pick up the ribs.
- Look to see that the uptake (if present) is in the myocardium, rather than blood pool in the LV and/or RV
- Common to see sparing at the apex (“strain sparing pattern at the apex”)
- Also look for extracardiac uptake, e.g. patients can have rib fractures post-CPR
-Imaging-20240927131438895.webp)
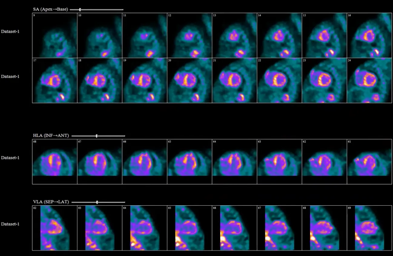
- Adjust the reconstruction planes
- Review reconstructed images
- If you see RV uptake as in the reconstructed images shown in the above example, be sure to comment on it. This example also demonstrates the apical strain sparing pattern noted above.
- Review the CT images, including lung windows and bone windows
- 📝 there is often overlap between amyloid heart disease and aortic stenosis
- Review ancillary data, e.g. Echo, ECG, Troponin, Natriuretic Peptides
- 📝 at least 50% of patients with ATTR amyloidosis will not satisfy low-voltage criteria on ECG
- Generate a clinically meaningful report
Acquisition
- 📝 As below, if there is excess blood pool activity on the 1-hr image, they recommend a 3-hr image. Dr. Asif commented that even at 3 hrs, you may still have the blood pool issue in patients with very low EF.
-Imaging-20240926215455618.webp)
Image Interpretation
- HCL is considered “quantitative” and eye-balling for visual comparison (e.g., Perugini score) is considered “semi-quantitative,” per 1
- Reporting Study Conclusions 1
- An overall interpretation of the findings into categories of 1) not suggestive of ATTR cardiac amyloidosis; 2) strongly suggestive of ATTR cardiac amyloidosis; or 3) equivocal for ATTR cardiac amyloidosis after exclusion of a systemic plasma cell dyscrasia.
- Not suggestive: A semi-quantitative visual Grade of 0.
- Equivocal: If diffuse myocardial uptake of 99m Tc- PYP/DPD/HMDP is visually confirmed and the semi-quantitative visual grade is 1 or there is interpretive uncertainty of grade 1 versus grade 2 on visual grading.
- Strongly suggestive: If diffuse myocardial uptake of 99m Tc-PYP/DPD/HMDP is visually confirmed, a semi-quantitative visual grade of 2 or 3.
- Statement that evaluation for AL amyloidosis by serum FLCs, serum, and urine immunofixation is recommended in all patients undergoing 99m Tc-PYP/ DPD/HMDP scans for cardiac amyloidosis. (Required)
- (Recommended) Statement that results should be interpreted in the context of prior evaluation and referral to a hematologist or amyloidosis expert is recommended if either:
- Recommended echo/CMR is strongly suggestive of cardiac amyloidosis and 99m Tc PYP/ DPD/HMDP is not suggestive or equivocal and/or
- FLCs are abnormal or equivocal.
- An overall interpretation of the findings into categories of 1) not suggestive of ATTR cardiac amyloidosis; 2) strongly suggestive of ATTR cardiac amyloidosis; or 3) equivocal for ATTR cardiac amyloidosis after exclusion of a systemic plasma cell dyscrasia.
Figure source: 3
-Imaging-20240926220652872.webp)
Heart-to-contralateral lung (HCL) ratios
- Method:
- Draw circular ROIs on planar images around 1) the heart and 2) the mirror/contralateral side (to account for background and ribs)
- Total and absolute mean counts are measured in each ROI.
- When myocardial uptake is visually present on SPECT images H/ CL ratios of ≥1.5 at one hour (≥1.3 at 3 hours) are classified as ATTR positive and ratios of <1.5 (<1.3 at 3 hours) ATTR negative
-Imaging-20240926220055745.webp)
- When myocardial uptake is visually present on SPECT images H/CL ratios of ≥1.5 at one hour are classified as ATTR positive and ratios of <1.5 ATTR negative
Footnotes
-
https://www.asnc.org/wp-content/uploads/2024/05/19110-2021-ASNC-Amyloid-Practice-Points-PYP-MAY19-2022-1.pdf ↩ ↩2 ↩3
-
Tc-PYP scan for A-TTR Cardiac Amyloid - YouTube. https://www.youtube.com/watch?v=xHFQMsvmk_k. Accessed 27 Sept. 2024. ↩
-
Khor YM, Cuddy SAM, Singh V, Falk RH, Di Carli MF, Dorbala S. 99mTc Bone-Avid Tracer Cardiac Scintigraphy: Role in Noninvasive Diagnosis of Transthyretin Cardiac Amyloidosis. Radiology. 2023 Feb;306(2):e221082. doi: 10.1148/radiol.221082. Epub 2022 Dec 20. PMID: 36537896; PMCID: PMC9885342. ↩