• Related:
  • The most frequent histopathologic picture is medial layer degeneration1
  • Connective tissue disorders and patients with aortic aneurysms have a more severe medial degeneration1
  • “Trigger”
    • In addition to medial layer degeneration, aortic dissection requires a “trigger” to create an entry site in the aortic wall. This trigger is presumed to be high blood pressure and flow producing aortic wall shear stress, but this remains to be fully elucidated. Little is known about the aortic wall shear stress patterns. Other agents like exertion or emotional distress may act as inciting events for AAS.1

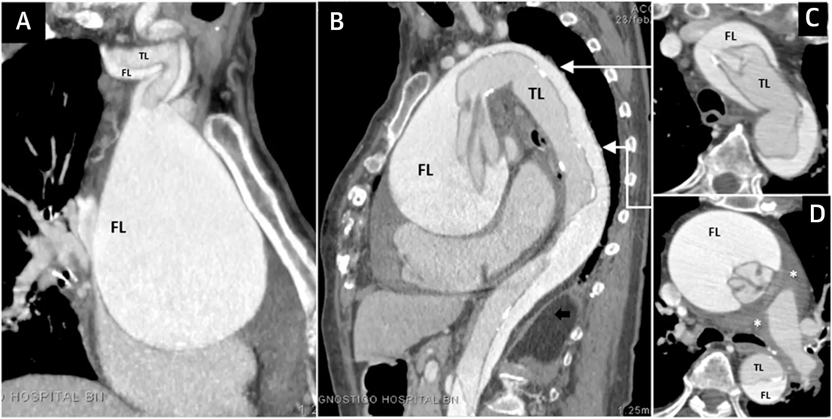
Figure caption: Type A classic dissection in a patient with an ascending aortic aneurysm. (A) Coronal computed tomography (CT) image showing involvement of the innominate artery by the dissection flap. (B) Sagittal CT angiogram shows avulsion and intussusception of the dissection flap into the distal ascending aorta and aortic arch. Axial CT images at the level of (C) the aortic arch and (D) the left pulmonary artery. Notice a pulmonary artery adventitial hematoma (asterisk) compressing the pulmonary arteries in D. FL = false lumen; TL = true lumen.1

Footnotes

  1. Vilacosta I, San Román JA, di Bartolomeo R, Eagle K, Estrera AL, Ferrera C, Kaji S, Nienaber CA, Riambau V, Schäfers HJ, Serrano FJ, Song JK, Maroto L. Acute Aortic Syndrome Revisited: JACC State-of-the-Art Review. J Am Coll Cardiol. 2021 Nov 23;78(21):2106-2125. doi: 10.1016/j.jacc.2021.09.022. PMID: 34794692. 2 3 4