🫀 Mirza's Cardiology Notes

      • Electrophysiology (EP) Emergencies
      • In-House Notes
      • Nuclear Rotation Setup
      • Overnight Echo
      • Overnight Vascular Stuff
      • SLH
      • Useful Apps
      • ACHD Basics
      • Patent Ductus Arteriosus
      • Ventricular Septal Defect (VSD)
      • Acute Coronary Syndrome (ACS)
      • ASCVD Risk Calculator
      • Cardiac Stress Testing
      • Chest Pain
      • Coronary Artery Calcium (CAC)
      • Coronary Artery Disease (CAD)
      • Exercise ECG
      • Familial Hyperlipidemia
      • Hyperlipidemia
      • Inferior STEMI
      • Ischemia with Nonobstructive Coronary Arteries (INOCA)
      • Mediterranean Diet
      • MESA Risk Score
      • Microvascular Dysfunction
      • Myocardial Infarction
      • Myocardial Infarction with Non-Obstructive Coronary Arteries
      • Spontaneous Coronary Artery Dissection (SCAD)
      • ST-elevation Myocardial Infarction (STEMI)
      • Stable Ischemic Heart Disease (SIHD)
      • Stress Echocardiography
      • Troponin
      • Vasospastic Angina
      • Ventricular Pseudoaneurysm
      • Aorta
      • Aortic Root
      • Coronary Anatomy
      • Coronary Anomalies
      • Left Atrial Appendage
      • Left Atrium
      • Left Ventricle
      • CAD-RADS
      • CT Read Keyboard and Mouse Shortcuts
      • CT Reading Tips
      • CT Scan Acquisition and Protocols
      • Extracardiac Chest Findings
      • How to Read a Chest CT - Basics
      • How to Read a Coronary CTA
      • How to Read a CTA Chest
      • How to Read a Gated CTA Chest
      • How to Read a Runoff CT
      • How to Read a TAVI Scan
      • How to Read a Watchman Scan
      • Amyloidosis
      • Arrhythmogenic Right Ventricular Cardiomyopathy (ARVC)
      • Athlete's Heart
      • Cardiac Transplant
      • Cardiomyopathies
      • Constrictive Pericarditis
      • Heart Failure
      • Heart Failure with Preserved Ejection Fraction (HFpEF)
      • Heart Failure with Reduced Ejection Fraction (HFrEF)
      • Hypertrophic Cardiomyopathy
      • Left Ventricular Hypertrophy
      • Left Ventricular Non-Compaction (LVNC)
      • Myocarditis
      • Restrictive Cardiomyopathy
      • Right Heart Failure
      • Sarcoidosis
      • Takotsubo Cardiomyopathy
      • Cardiogenic Shock
      • Extracorporeal Membrane Oxygenation (ECMO)
      • Impella
      • Intra-aortic Balloon Pump (IABP)
      • Mechanical Circulatory Support
      • Pericardial Tamponade
      • Cardiac MRI Artifacts
      • Cardiac MRI Basics
      • Gadolinium
      • How to Read a Cardiac MRI
      • MRI Mapping Techniques
      • T2-star MRI Sequence
      • Aortic Coarctation
      • Atrial Septal Defect (ASD)
      • Partial Anomalous Pulmonary Venous Return (PAPVR)
      • Patent Foramen Ovale
      • Persistent Left-sided Superior Vena Cava
      • Sinus Venosus Defect
      • 3D Echocardiography
      • Basic Echo Views
      • Chamber Quantification
      • Color Doppler
      • Continuous Wave Doppler
      • Diastolic Dysfunction
      • Echo Artifacts
      • Echo Doppler
      • Echo Hemodynamics
      • Echo Math
      • Global Longitudinal Strain (GLS)
      • Left Ventricular Outflow Tract (LVOT)
      • M-mode
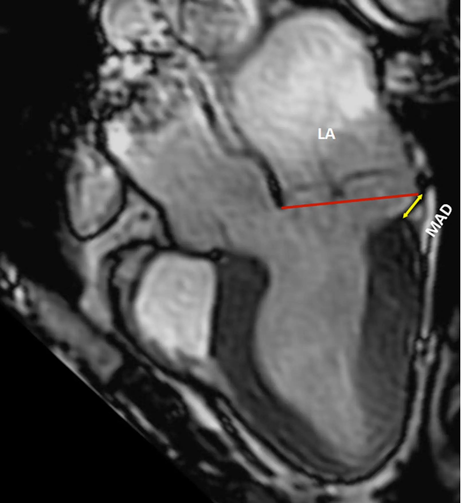
      • Mitral Annular Disjunction (MAD)
      • Pressure Half Time (PHT)
      • Pulmonary Velocity Acceleration Time (PVAT)
      • Pulsed Wave Doppler
      • Right Ventricle
      • Strain Imaging
      • Tissue Doppler
      • Transesophageal Echocardiography (TEE)
      • Tricuspid Annular Plane Systolic Excursion (TAPSE)
      • Accessory Pathway Conduction
      • Atrial Fibrillation (AFib)
      • Atrial Flutter
      • Atrial Tachycardia
      • Atrioventricular Block
      • AV Dissociation
      • AV Nodal Reentrant Tachycardia (AVNRT)
      • AV Reentrant Tachycardia (AVRT)
      • Bradycardia
      • Brugada Syndrome
      • Cardiac Action Potential
      • Cardiac Resynchronization Therapy (CRT)
      • Conduction System Pacing
      • Dysautonomia
      • EGMs
      • Electrocardiogram
      • First degree (1˚) AV Block
      • Idiopathic Ventricular Tachycardias
      • Inappropriate Sinus Tachycardia (IST)
      • Interventricular Conduction Delay
      • Left Bundle Branch Block
      • Long QT Syndrome
      • Multifocal Atrial Tachycardia
      • Pacemakers
      • Premature Ventricular Contractions (PVCs)
      • Right Bundle Branch Block
      • Second degree (2˚) AV Block
      • Sinus Node Dysfunction (SND)
      • Sinus Tachycardia
      • Supraventricular Tachycardia (SVT)
      • Tachyarrhythmias
      • Third degree (3˚) AV Block
      • Ventricular Arrhythmias
      • Ventricular Tachycardia (VT)
      • Wide-Complex Tachycardia
      • Anti-Hypertensive Medications
      • Hypertension
      • Lifestyle Modifications for Hypertension
      • Refractory Hypertension
      • Resistant Hypertension
        • Attenuation Correction (AC)
        • Coronary Computed Tomography Angiography (CCTA)
        • FDG-PET for Myocardial Viability Testing
        • Medical Physics
        • Myocardial Blood Flow (MBF)
        • Nuclear Medicine Notation and Glossary
        • Nuclear Scan Reading Tips
        • Positron Emission Tomography (PET)
        • Pyrophosphate (PYP) Imaging
        • Radionuclides
        • Single-photon emission computed tomography (SPECT)
        • Acetylcholine
        • Adenosine
        • Amiodarone
        • Anti-Anginal Therapy
        • Anti-Arrhythmic Drugs
        • Aspirin
        • Atropine
        • Beta-blockers
        • Digoxin
        • Dobutamine
        • Ezetimibe
        • Nitrates
        • PCSK9 Inhibitors
        • Pharmacologic Stressors
        • Statins
        • Sensitivity
        • Specificity
        • 0-Valvular Disorders
        • Aortic Regurgitation
        • Aortic Stenosis
        • Aortic Valve
        • Bicuspid Aortic Valve
        • Endocarditis
        • Hypoattenuated Leaflet Thickening
        • Mitral Annular Calcification (MAC)
        • Mitral Regurgitation
        • Mitral Stenosis
        • Mitral Transcatheter Edge-to-Edge Repair (mTEER)
        • Mitral Valve
        • Mitral Valve Prolapse (MVP)
        • Prosthetic Aortic Valve Stenosis
        • Prosthetic Valves
        • Subaortic Stenosis
        • Transcatheter Aortic Valve Implantation (TAVI)
        • Tricuspid Regurgitation
        • Tricuspid Valve
        • Stroke
        • Thoracic Aortic Aneurysms
      • 17-Segment Model
      • Ambulatory ECG Monitoring
      • Cardiac Arrest
      • Cardiac MRI
      • Cardiopulmonary Exercise Testing
      • Chronic Venous Insufficiency
      • Dyspnea
      • Orthostatic Hypotension
      • Pericardial Disorders
      • Pericardial Effusion
      • Pericarditis
      • Perioperative Management in Non-cardiac Surgery
      • Postural Orthostatic Tachycardia Syndrome (POTS)
      • Pulmonary Arterial Hypertension (PAH)
      • Pulmonary Artery Catheter (PAC)
      • Pulmonary Embolism
      • Pulmonary Hypertension
      • Rheumatic Heart Disease
      • Supine Hypertension
      • Syncope
    Home

    ❯

    Echo

    ❯

    Mitral Annular Disjunction (MAD)

    Mitral Annular Disjunction (MAD)

    • EP
    • echo


    Graph View

    Backlinks

    • No backlinks found

    Created with Quartz v4.4.0 © 2025

    • GitHub
    • Discord Community