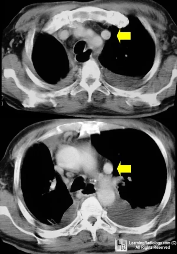
• Persistent Left-sided SVC “is the most common congenital venous anomaly in the chest, and in a minority of cases can result in a right-to-left shunt.” (Source)
  • Most cases are asymptomatic and are noted incidentally on CT chest