Search
❯
Mar 06, 20261 min read
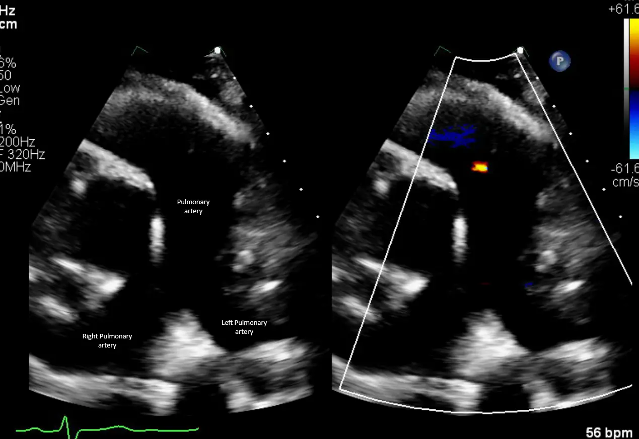
Nice view of the pulmonary artery with bifurcation in the short-axis RVOT view on TTE